- Systematic review included 5 studies comparing digital breast tomosynthesis (DBT) plus full-field digital mammography (FFDM) versus FFDM alone for the detection of breast cancer lesion in asymptomatic women.
- DBT plus full field digital mammography detected cancer at a higher rate than conventional mammography alone.
- DBT plus conventional digital mammography “increases the effectiveness of breast cancer screening.”
- DBT was also found to increase patient convenience by reducing false positives.
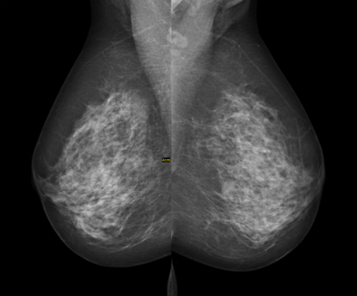
Three-dimensional (3D) breast mammography (Figure 1) is superior to conventional digital mammography for the detection of breast malignancies according to the results of a systematic review published recently in The Breast.

(Sources: Wikipedia/Creative Commons/Wikimedia/By ©Nevit Dilmen).
Three-dimensional mammography, also called digital breast tomosynthesis (DBT), is a new screening and diagnostic breast imaging tool that may improve the early detection of breast cancer. DBT plus full-field digital mammography (FFDM) was found to more accurately detect breast lesions in asymptomatic women. DBT was also found to be more convenient for patients by reducing unnecessary rescreening following false positives.
The Analysis
The authors of this systematic review identified 5 studies that compared DBT + full field digital mammography (Figure 2) with FFDM. It appears from the report that the studies were difficult to compare. “Studies varied substantially as they were performed in different health systems with different screening paradigms,” the authors explained.
All 5 studies had in common that they reported the relative rate of cancer detection, false positive rates, and recall rates for DBT and FFDM together versus FFDM alone. “However, only limited evidence on interval cancers from follow-up” was available at the time the review was conducted. “Therefore absolute sensitivity and specificity cannot be fully evaluated,” the authors noted. Further complicating the comparison of data, the analysis included both European and U.S. studies.

Fort Myers, FL., demonstrates an Acuson S2000 ABVS 3D mammography machine.
(Sources: Vimeo/Lee Memorial Health System/Acuson/Siemens.)
Cost
According to StopCancerFund.org 2D screening mammograms are free for patients covered by healthcare insurance under the Affordable Care Act. However, some insurers will not cover 3D mammograms, and others charge women a surcharge. Medicare began covering 3D mammography in 2015 and some states are beginning to mandate coverage.
Conclusions
“Based on their studies, 3D + 2D may be better at detecting cancer, and reduce call-backs for more testing with abnormalities that turn out not to be cancer. Although potentially important when millions of women are undergoing mammography, those differences are very small for individual patients (perhaps 2 in 1,000 instead of 1 in 1,000). Although most women today will undergo either 3D or 2D but not both, there is very little information on the accuracy of low-dose 3D mammography alone,” according a statement at StopCancerFund.org.
“Evidence from large scale studies in the U.S. and Europe show that DBT plus FFDM, compared to FFDM alone, yields higher invasive cancer detection rates, increasing the effectiveness of breast cancer screening. The use of DBT may reduce recalls and thereby reduce both program costs and distress caused by a false negative recall,” concluded the authors of the review published in The Breast.
